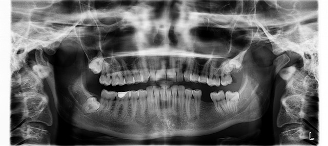
임플란트를 알아보고 있으시다면 아마 치아가 충치로 인해 또는 충격으로 인해서 손상이 간 상태 일거라고 생각됩니다. 손상된 상태로 장기간 방치할 경우에는 다른 치아와 신경이 손상될 수 있으니 임플란트 가격을 제대로 알아보고 최대한 빠르게 치료하는 것이 좋다고 생각됩니다.
[[나의목차]]
임플란트 가격
임플란트는 한 해 동안 30만 건 이상 시술을 할 정도로 많은 사람들이 이용하는 시술입니다. 치아의 손상이나 치아가 빠진 자리를 임플란트 시술을 통해서 치료하게 되는데 비용적인 부분이 걸림돌이 되는 시술입니다. 우리나라의 경우 치과가 많기 때문에 다른 나라에 비해 치과 비용이 많이 저렴하고 기술도 발전된 편이지만 임플란트 시술은 비용적인 부분이 다른 치료에 비해 금액이 비싸고 의료보험도 안되기 때문에 치아 손상을 많이 두려워하십니다.
임플란트는 건강보험 적용을 받을 수 있으나 만 65세 이상이면 임플란트 2개까지 본인 부담금 30%로 건강보험이 됩니다. 그렇지만 적정 나이가 안되시는 분들이 많으며 적용되는 치아도 2개뿐이기 때문에 다른 치아는 해택을 받지 못합니다. 임플란트의 가격은 최저 100만 원부터 220만 원까지 금액대가 다양하며 어떤 재료가 들어가고 시술방법 임플란트 브랜드에 따라서 가격이 천차만별 차이 나게 됩니다.
임플란트는 지역마다 가격 편차가 큰 편입니다. 시술을 하는 의사의 실력도 천차만별이기 때문에 치과를 잘 알아보고 임플란트를 하는 것도 중요합니다. 임플란트를 최대한 저렴하게 본인이 거주하는 지역에서 받고 싶은 경우에는 아래 링크를 클릭해 보시는 것을 추천드립니다.
건강보험 심사평가원
www.hira.or.kr
건강보험 심사평가원 링크를 클릭하셨으면 하단의 그림을 따라서 해보시면 지역별 임플란트 비용을 알아볼 수 있습니다.

진료비 항목에서 기관별 현황 정보를 클릭하시면 아래와 같이 나오게 됩니다.

치과 병원을 클릭하시고 지역별에서 거주 중인 시군구를 선택하시면 됩니다. 이후 치과의 보철료를 클릭하시면 아래와 같은 임플란트의 최저 비용과 최대 비용 치과병원을 볼 수 있습니다.

임플란트 치료 후 주의 사항
임플란트 시술을 하게 될 때 주의사항을 잘 지켜주셔야 임플란트가 잘 자리 잡고 염증을 예방할 수 있습니다. 임플란트 시술 후 음주와 흡연은 하면 좋지 않습니다. 이후 구강의 위생관리를 철저히 하시고 임플란트를 심은 자리에 손을 대면 좋지 않습니다. 세균 감염이 되는 경우 재수술을 해야 할 수 있습니다. 아무리 시술이 잘되었다고 해도 추후 관리가 제대로 되자 않으면 무용지물입니다.










임플란트를 하게 되면 가장 조심해야 할 것은 임플란트 주위에 염증이 생기는 것을 주의해야 합니다. 임플란트를 하고 초기에는 시술한 잇몸이 붓고 출혈이 생깁니다. 이는 자연스러운 현상이지만 세균 감염이나 사후 관리가 제대로 되지 않아 염증이 생긴 경우 임플란트를 식립 한 것이 빠지게 됩니다.




임플란트 가격이 차이 나는 이유는?

임플란트 시술은 가격 편차가 심한 시술 중 하나입니다. 다른 시술도 마찬가지지만 어떠한 의료인이 시술하고 재료의 가격에 따라서 비용이 달라지게 됩니다. 하지만 같은 병원에서 같은 재료를 사용하더라도 비용의 차이가 발생할 수 있는데 그 이유는 시술받는 환자마다 구강상태가 다르기 때문에 비용적인 차이가 발생하게 됩니다.
코로나 자가격리 지원금 3월 16일 부터
오미크론의 확산세가 증가하는 요즘 코로나 때문에 자가 격리하는 분들에게 도움이 되는 정책인 자가격리 지원금 신청 방법에 대해서 오늘은 이야기해드리려고 합니다. 일단 변경된 자가격리
gotop.rogout.com
6차 재난지원금 알아보기
코로나가 시작된 지 벌써 2년이 넘어 장기화되는 요즘 재난 지원금 지급이 6차까지 지원금을 지급하고 있습니다. 5차 재난 지원금의 경우 전 국민을 대상으로 지급했었는데 이번 6차 지원금의 지
gotop.rogout.com
'건강' 카테고리의 다른 글
| 소변이 자주 마려운 증상 6가지 원인 (0) | 2022.03.24 |
|---|---|
| 인후통 증상 7가지 알아보기 (0) | 2022.03.24 |
| 델타크론 변이 출현 위험성은? (0) | 2022.03.13 |
| 오미크론 증상 총정리 (0) | 2022.03.10 |
| 대장암 초기증상 원인 (0) | 2022.02.21 |
댓글