오늘은 발뒤꿈치가 아픈 이유에 대해서 알아보겠습니다. 발뒤꿈치 통증으로 인해서 고생하는 사람들이 많습니다. 발뒤꿈치가 아픈 이유는 다양하지만 장시간 서있는 경우 신발이 발에 맞지 않아서 잘못된 자세로 인해 발뒤꿈치 통증을 유발할 수 있습니다.
[[나의목차]]
발뒤꿈치가 아픈 이유
장시간 서서 작업을 하거나 일을 하는 사람들에게서 많이 발생하는 발뒤꿈치 통증은 여러 가지 질환이 원인이 되어 생길 수 있습니다. 일상생황을 할 때 발뒤꿈치가 아프면 신경이 쓰이고 거슬리게 됩니다. 증상이 지속되는 경우 참기 힘든 통증을 유발하게 되어 일생생활이 힘들어질 수 있습니다.
1. 허리디스크
허리디스크가 있는 경우에는 장시간 서있을 때에 발뒤꿈치가 아플 수 있습니다. 허리디스크 초기에는 통증을 느끼지 않는 경우가 많지만 장시간 허리디스크를 앓는 상황에서는 허리 신경을 누르게 되어 다리의 마비나 엉덩이를 시작으로 다리와 발뒤꿈치까지 당기거나 통증을 유발하게 됩니다.







2. 아킬레스 건염
아킬레스 건염은 아킬레스건에 염증이 생겨 발생하는 질환으로 아킬레스 부위에 부종과 함께 통증을 유발하게 하는 질환입니다. 아킬레스 건염이 생기는 이유로는 지나친 운동이나 잘못된 자세가 질환을 유발하는 것으로 알려져 있습니다.
아킬레스 건염의 증상으로는 발뒤꿈치 부분의 통증을 느끼게 되며 증상을 방치해 악화될 경우 서있는 것만으로도 통증이 생깁니다.
3. 족저 근막염
족저 근막염은 발에 맞지 않는 신발을 신거나 과도한 운동으로 인해서 자주 생기는 질환입니다. 족저 근막은 걷는대에 중요한 역할을 하는 부위로 만약 이 부위에 건염이 생기는 경우 심한 통증을 유발하게 됩니다. 신발이나 운동이 원인이 아닌 경우에는 당뇨나 갑자기 늘어난 체중으로 인해서 족저 근막염이 생긴 것일 수 있습니다.
족저근막염을 치료는 보전적 치료가 우선시 됩니다. 대부분 증상이 심하지 않기 때문에 수술적 치료를 하는 경우가 드물며 대부분 보조기구를 착용해 발목에 부하를 줄여주어 점차 치료를 하는 것입니다. 족저 근막염은 치료되는데 장시간이 걸리는 만큼 질환이 생기게 되면 많은 불편감을 유발하게 됩니다.
이 질환을 예방하기 위해서는 발에 맞는 신발을 신는 것이 좋고 적정체중을 유지해 발에 생기는 부하를 최대한 낮춰주는 것을 추천드리겠습니다. 발에 맞지 않는 신발은 버리는 것이 좋습니다.
4. 체중 증가 (비만)
급격하게 늘어난 체중으로 인해서 발바닥과 발 뒤꿈치에 통증이 생길 수 있습니다. 늘어난 체중으로 인해서 발에 많은 부하를 주게 되어 가만히 서있을 때에도 통증을 느끼게 되고 걸을 때에는 통증이 심해지는 경우가 있습니다. 이는 자연스러운 현상입니다. 이를 최대한 완화시키기 위해서는 살을 빼는 것이 좋고 자신의 발에 맞는 신발을 신어주어 발에 생기는 부하를 최대한 낮추는 것이 좋습니다. 통증을 완화하기 위해선 발목 스트레칭과 마사지 족욕을 추천드리겠습니다.

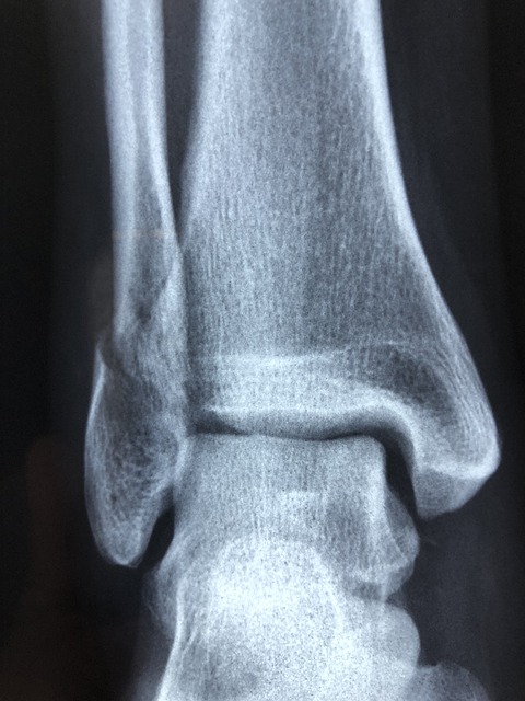
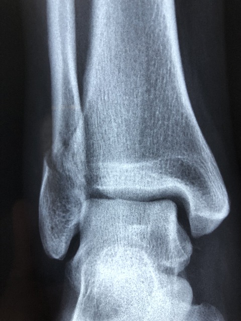
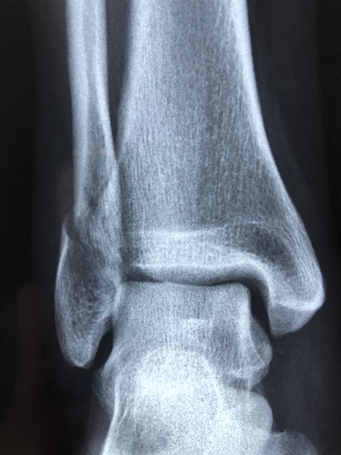
5. 발목 골절
발에 금이가 거나 골절된 경우 통증을 유발할 수 있습니다. 운동을 하거나 걷다가 발을 잘못 접질릴 때 발목 인대가 늘어나거나 뼈에 이상이 생겨 통증을 유발하게 됩니다. 발목에서 시작된 통증이 발뒤꿈치까지 이어질 수 있습니다. 발목이 골절된 경우에는 서있기도 힘들고 손으로 누를 때에 심한 통증을 유발하게 됩니다.
6. 발목 인대 손상
발목에 있는 인대가 늘어나거나 손상되는 경우에 발뒤꿈치에 통증이 생길 수 있습니다. 발목 인대는 생각보다 연약하여 발을 잘못 접질리거나 계단을 오르내리락 등산을 할 때 또는 점프 후 착지를 잘못했을 때 손상될 수 있습니다. 인대가 손상된 경우에는 발목에 지속적인 통증을 유발하게 되며 발목에 깁스를 차는 것으로 보전적 치료를 하게 됩니다.
발은 신체에서 없으면 죽는 부위는 아니지만 없다면 매우 불편하게 됩니다. 발에 생기는 통증은 일상생활을 하는데 많은 부담을 주기 때문에 최대한 아무 이상 없는 것이 좋습니다. 대부분의 발목질환은 무리한 운동을 하거나 잘못된 자세 발에 맞지 않는 신발 비만으로 인해서 생깁니다. 이 부분만 잘 주의하시고 마사지를 꾸준히 해주며 스트레칭을 하신다면 관련 질환을 예방할 수 있을 겁니다. 오늘은 발뒤꿈치가 아픈 이유에 대해서 알아보았습니다.
오미크론 증상 총정리
오미크론은 요즘 확산세가 많이 늘어난 질병입니다. 이 글을 읽어보시고 확인하 신다음 자가진단키트를 구매하셔서 확인해 보시는 것을 추천드리겠습니다. 오미크론은 코로나 19 바이러스의 돌
gotop.rogout.com
오미크론 잠복기 위험성
현재 대한민국에서는 일 확진자가 30만 명에 육박할 정도로 오미크론이 크게 유행하고 있습니다. 지금 상황에서는 방역대책은 크게 없으며 오미크론에 감염되더라도 자가격리를 하는 것뿐 저희
gotop.rogout.com
'생활정보' 카테고리의 다른 글
| 블루베리 효능 및 부작용 총정리 (0) | 2023.06.24 |
|---|---|
| 잇몸 염증 원인과 예방 (0) | 2023.06.23 |
| 6차 재난지원금 알아보기 (0) | 2022.03.15 |
| 코로나 자가격리 지원금 3월 16일 부터 (0) | 2022.03.15 |
| 오미크론 잠복기 위험성 (0) | 2022.03.13 |
댓글